Hygiène dentaire · Mohammedia

Détartrage dentaire
à Mohammedia : prix et déroulement

Un soin de 30 minutes qui protège vos dents et vos gencives. À partir de 600 DH, tout compris.

Dr. Rakrak Ali · Clinique LaBeldent Mohammedia

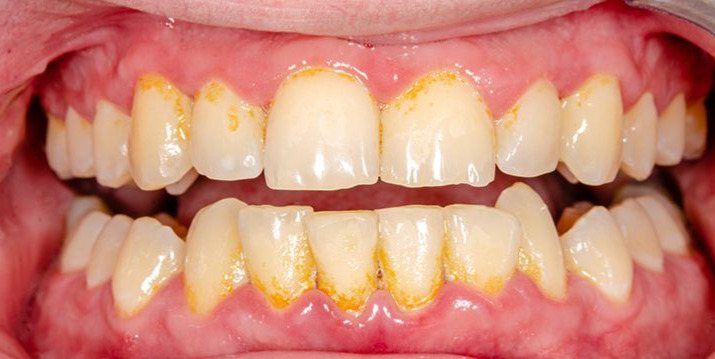
Accumulation de tartre dentaire sur les dents avant un détartrage professionnel à la Clinique LaBeldent Mohammedia
L'essentiel à savoir

Pourquoi le détartrage est le soin le plus important pour vos dents

Le tartre se forme même avec une hygiène bucco-dentaire rigoureuse. La salive contient des minéraux qui durcissent la plaque dentaire en 48 heures. Une fois solidifié, le tartre ne s'élimine plus à la brosse. Il s'accumule le long des gencives, provoque une inflammation chronique, et crée les conditions d'une gingivite, puis d'une parodontite. Le détartrage dentaire à Mohammedia permet d'éliminer ces dépôts avant qu'ils ne causent des dégâts.

Le tartre non traité peut provoquer un recul gingival. Les gencives se rétractent, exposent les racines, et les dents perdent progressivement leur ancrage. Ce processus est silencieux : il ne fait pas mal jusqu'à ce que les dégâts soient déjà avancés.

  • Élimine le tartre que le brossage ne peut pas atteindre
  • Prévient la gingivite et la parodontite
  • Protège vos gencives et l'ancrage de vos dents
Ce que ça coûte

Prix du détartrage dentaire à Mohammedia

Les tarifs ci-dessous reflètent le coût d'un nettoyage dentaire professionnel à la Clinique LaBeldent. Le tarif exact est confirmé après examen clinique selon votre situation.

Détartrage + polissage 600 MAD

Détartrage ultrasonique complet, polissage de toutes les surfaces dentaires, conseils d'hygiène personnalisés. Séance de 30 à 45 minutes. Prix tout compris, sans surprise.

Surfaçage radiculaire 3 000 MAD

Nettoyage en profondeur du tartre accumulé sous la gencive, au niveau des racines. Indiqué pour les cas de parodontite ou de tartre sous-gingival avancé. Réalisé sous anesthésie locale, en plusieurs séances si nécessaire.

Bilan complet + détartrage + surfaçage 3 500 MAD

Examen clinique approfondi, radiographies, détartrage complet et surfaçage radiculaire. Prise en charge globale pour les patients nécessitant un assainissement parodontal complet.

Le tarif est confirmé après l'examen

La quantité de tartre, l'état de vos gencives et la présence éventuelle de tartre sous-gingival déterminent le protocole adapté. Vous recevez un devis précis avant toute décision.

Remboursement CNSS / CNOPS

Le détartrage fait partie des soins dentaires conservateurs pris en charge par la CNSS et la CNOPS. Nous vous remettons les documents nécessaires pour votre demande de remboursement. Vérifiez votre couverture.

Vous résidez en Europe ?

Un détartrage en France coûte entre 60 et 150 euros. À la Clinique LaBeldent, le même soin ultrasonique, avec le même niveau de rigueur, pour 600 DH (environ 55 euros). Le soin se fait en une seule visite de 30 minutes.

Comment ça se passe

Le déroulement de votre détartrage, étape par étape

01

Examen initial

5 minutes

Vérification de l'état de vos gencives, repérage des zones d'accumulation du tartre et évaluation de la présence éventuelle de tartre sous-gingival. Si un surfaçage est nécessaire, vous en êtes informé avant de commencer.

02

Détartrage ultrasonique

15 à 20 minutes

L'instrument ultrasonique émet des vibrations qui décollent le tartre de la surface des dents, au-dessus et en dessous de la ligne gingivale. Un jet d'eau évacue les débris en continu. Le tartre se détache sans contact abrasif avec l'émail.

03

Polissage

5 à 10 minutes

Les surfaces dentaires sont lissées à l'aide d'une pâte de polissage et d'une cupule rotative. Le polissage élimine les taches superficielles et rend la surface des dents plus lisse, ce qui ralentit la reformation du tartre.

04

Conseils personnalisés

5 minutes

Recommandations sur la technique de brossage, le choix de la brosse et du dentifrice, l'utilisation du fil dentaire ou des brossettes interdentaires. La fréquence de détartrage adaptée à votre profil est définie : tous les 6 mois, tous les ans, ou plus fréquemment si nécessaire.

Salle de soins pour détartrage dentaire, Clinique LaBeldent, dentiste à Mohammedia
Quand le détartrage ne suffit pas

Le surfaçage radiculaire : traiter ce qui se passe sous la gencive

Le détartrage élimine le tartre visible. Mais chez certains patients, le tartre s'est infiltré sous la gencive, le long des racines. Ce tartre sous-gingival est invisible, inaccessible au brossage, et c'est lui qui fait le plus de dégâts.

Les bactéries piégées dans ce tartre provoquent une inflammation chronique. Les gencives se décollent progressivement de la dent, formant des poches parodontales. L'infection s'étend au ligament qui relie la dent à l'os, puis à l'os lui-même. La perte osseuse qui en résulte est silencieuse : elle ne fait pas mal, elle ne se voit pas, mais elle réduit l'ancrage de la dent jusqu'à compromettre sa tenue.

Le surfaçage radiculaire intervient à ce stade. Sous anesthésie locale, les surfaces des racines sont nettoyées en profondeur pour éliminer le tartre et les bactéries accumulés dans les poches parodontales. Les racines sont ensuite lissées pour empêcher le tartre de se reformer. L'objectif est de stopper la progression de la maladie et de permettre aux gencives de se réattacher aux surfaces nettoyées.

Un surfaçage réalisé à temps permet de stabiliser la perte osseuse et de conserver des dents qui, sans traitement, finiraient par devenir mobiles, puis par tomber. C'est un soin curatif, pas un soin de confort.

  • Élimine le tartre sous-gingival responsable de la perte osseuse
  • Réalisé sous anesthésie locale, en une ou plusieurs séances
  • Stoppe la progression de la parodontite et stabilise l'ancrage des dents
Surfaçage radiculaire pour éliminer le tartre sous-gingival et traiter la parodontite, Clinique LaBeldent Mohammedia
Soyons précis

Ce que vous devez savoir avant votre détartrage

Le détartrage fait-il mal ? Le détartrage est un soin indolore. L'instrument ultrasonique produit une vibration et un jet d'eau, sans contact agressif avec les dents. Certains patients ayant des dents sensibles peuvent ressentir une sensation de froid ou un léger désagrément. Dans ce cas, une anesthésie locale est appliquée pour que la séance reste confortable du début à la fin.

Le détartrage abîme-t-il l'émail ? Non. Réalisé avec une angulation précise de l'instrument ultrasonique, le détartrage est parfaitement sûr pour l'émail. Il élimine les dépôts de tartre qui, eux, provoquent l'inflammation des gencives. La séance se termine toujours par un polissage qui lisse les surfaces dentaires et leur redonne un état de propreté optimal.

Peut-on manger après ? Oui, immédiatement. Il n'y a aucune restriction alimentaire. En cas de légère sensibilité temporaire, éviter les aliments très chauds ou très froids pendant quelques heures suffit.

Une sensibilité après la séance ? C'est possible et c'est normal. Lorsque le tartre s'est accumulé pendant longtemps, il recouvre une partie du collet de la dent. Une fois retiré, cette zone se retrouve exposée au contact de l'air, du froid et des aliments. La sensibilité qui en résulte est temporaire et disparaît en quelques jours, le temps que les gencives se réadaptent aux surfaces nettoyées.

Tartre dentaire visible avant un détartrage professionnel à Mohammedia
Comprendre la différence

Détartrage, blanchiment, surfaçage : quelle différence ?

Ces trois soins sont souvent confondus. Ils n'ont ni le même objectif, ni la même indication, ni le même coût.

Soin Objectif Quand ? Prix à Clinique LaBeldent
Détartrage + polissage Éliminer le tartre, protéger les gencives Tous les 6 à 12 mois 600 MAD
Blanchiment dentaire Éclaircir la teinte de l'émail Souhait esthétique, après détartrage À partir de 1 500 MAD
Surfaçage radiculaire Nettoyer le tartre sous les gencives, traiter la parodontite Sur indication clinique 3 000 MAD

Le détartrage est un soin préventif que tout le monde devrait faire régulièrement. Le blanchiment est un traitement esthétique optionnel. Le surfaçage est un traitement curatif réservé aux cas de parodontite. Votre praticien vous oriente vers le soin adapté à votre situation lors de l'examen.

Prise en charge

Le détartrage est remboursable par la CNSS et la CNOPS.

Vérifiez votre couverture et estimez votre reste à charge en quelques clics.

Questions fréquentes

Ce que vous voulez savoir sur le détartrage

Combien coûte un détartrage au Maroc ?

Le prix d'un détartrage au Maroc varie entre 200 et 800 DH selon la clinique et la complexité du cas. À Clinique LaBeldent Mohammedia, le détartrage complet avec polissage est proposé à 600 DH, tout compris. Le surfaçage radiculaire, indiqué pour les cas avancés de tartre sous-gingival, est proposé à 3 000 DH.

Est-ce que le détartrage fait mal ?

Le détartrage est un soin indolore. L'instrument ultrasonique produit une vibration et un jet d'eau, sans contact agressif avec les dents. Certains patients ayant des dents sensibles peuvent ressentir une sensation de froid ou un léger désagrément. Dans ce cas, une anesthésie locale est appliquée pour que la séance reste confortable du début à la fin.

Le détartrage abîme-t-il les dents ?

Non. Réalisé avec une angulation précise de l'instrument ultrasonique, le détartrage est parfaitement sûr pour l'émail. Il élimine les dépôts de tartre qui provoquent l'inflammation des gencives. La séance se termine toujours par un polissage qui lisse les surfaces dentaires et leur redonne un état de propreté optimal.

À quelle fréquence faut-il faire un détartrage ?

La fréquence recommandée est tous les 6 à 12 mois, selon votre vitesse d'accumulation du tartre et l'état de vos gencives. Les patients fumeurs, diabétiques ou sujets à la parodontite peuvent nécessiter un détartrage tous les 3 à 4 mois. La fréquence idéale est déterminée lors de votre examen.

Quelle est la différence entre détartrage et blanchiment ?

Le détartrage élimine le tartre et la plaque accumulés sur les dents. C'est un soin de santé qui prévient les maladies des gencives. Le blanchiment est un traitement esthétique qui modifie la teinte de l'émail. Les deux sont complémentaires : un détartrage est d'ailleurs recommandé avant toute séance de blanchiment.

Combien de temps dure une séance de détartrage ?

Une séance de détartrage standard dure entre 30 et 45 minutes, selon la quantité de tartre accumulé. Le surfaçage radiculaire, qui traite le tartre sous-gingival en profondeur, peut nécessiter plusieurs séances de 45 à 60 minutes.

Le détartrage est-il remboursé par la CNSS ?

Oui. Le détartrage fait partie des soins dentaires conservateurs pris en charge par la CNSS et la CNOPS. Le taux de remboursement dépend de votre régime et de votre mutuelle complémentaire. Nous vous remettons les documents nécessaires pour votre demande de remboursement. Vérifiez votre couverture.

Peut-on manger après un détartrage ?

Oui, vous pouvez manger immédiatement après un détartrage. Il n'y a aucune restriction alimentaire. En cas de légère sensibilité temporaire, éviter les aliments très chauds ou très froids pendant quelques heures suffit. Vous reprenez vos activités normalement dès la sortie du cabinet.

Vos gencives
vous remercieront.

Un détartrage régulier protège ce que vous avez. Prenez rendez-vous pour une séance de 30 minutes.